Principes
Principes
La tomodensitométrie axiale assistée par ordinateur, autrement appelée scanner à rayons X ou plus simplement scanner, est une technique d'imagerie médicale permettant de réaliser des images radiographiques en coupes anatomiques perpendiculaires à l'axe du corps du patient.
À partir des coupes natives axiales du patient, des logiciels de reconstruction permettent de faire des reformatages dans tous les autres plans (sagital, coronal ou oblique). Enfin, des reconstructions tridimensionnelles peuvent aussi être réalisées avec un rendu volumique, surfacique ou endoscopique.
Par rapport à la radiographie conventionnelle, le scanner permet donc une dessuperposition des structures anatomiques, et ce, avec une meilleure résolution en contraste.

Reconstructions 3D Corps entier avec rendu volumique
Déroulement de l'examen
Déroulement de l'examen
Une anesthésie générale est nécessaire pour nos patients à quatre pattes : cela permet de limiter les mouvements lors de l'examen et d'obtenir des images diagnostiques fiables. En effet, le moindre mouvement peut compromettre la qualité et la précision de l'image. L'animal doit être déposé le matin à jeun et récupéré le soir.
Lorsque l’animal « dort », il est placé sur le lit du scanner dans la position appropriée.
L’examen scanner est rapide et sans douleur, l’animal n’est exposé qu’à une faible dose de radiation.
Le temps de l’anesthésie est relativement court et le patient est sous monitoring pendant toute la procédure.
L'examen se déroule normalement en deux phases : une première phase d'acquisition d'images, dite sans préparation, suivie d'une deuxième phase, après injection d'un produit de contraste iodé par voie intraveineuse. Le produit de contraste permet de rehausser les structures vasculaires et certains tissus (en particulier les tumeurs). C'est la comparaison des deux séries d'images qui permet d'affiner le diagnostic tomodensitométrique.

Coupes Axiales : Thorax Caudal avant et après IV
Dans certains cas, un produit de contraste peut aussi être injecté au sein d'un organe particulier, d'une articulation (arthroscanner), ou dans l'espace sous arachnoïdien (myéloscanner), afin de mieux faire apparaitre certaines lésions.
Indications
Indications
Le scanner donne la possibilité de diagnostiquer certaines pathologies plus tôt et plus précisément qu’avec d’autres techniques d’imagerie (échographie ou radiographie). Comme pour les humains, le scanner permet aux vétérinaires de visualiser et d’examiner des parties du corps qui sont habituellement difficiles à évaluer avec des images radiographiques classiques.
Les régions les plus communément explorées par tomodensitométrie chez l'animal sont : le crâne, le rachis, le thorax, l'abdomen et certaines articulations comme le coude ou l'épaule.
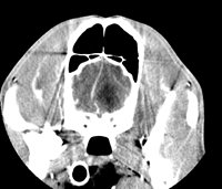
Cavités Nasales
- Jetage et Rhinite Chronique (nez qui coule)
- Epistaxis (saignements de nez)
- Déformations et douleurs du chanfrein (museau)
- Eternuements récurrents, "Reverse sneezing"
- Suspicion d'Aspergilose, de tumeur ou de corps étranger dans les fosses nasales.
- Sinusites
Massif facial

- Maladies parodontales, fistules Oro-Nasales (infections dentaires sévères)
- Exophtalmie ou dissymétrie de la face
- Douleur buccale, difficultés pour ouvrir ou fermer la gueule, trismus.
- Amyotrophie temporale (fonte musculaire)
- Syndrome de Claude Bernard Horner
- Pathologie rétrobulbaire
- Traumatisme facial
- Bilan d'extension des tumeurs de la face
Bulles tympaniques

- Exploration des otites moyennes et internes
- Syndrome vestibulaire périphérique
- Paralysie faciale
- Exploration des otites externes chroniques
- Suspicion de polypes oro-pharyngés
- Exploration des tumeurs de la sphère ORL
Encéphale

- Exploration des crises d'épilepsie et des Syndromes convulsifs
- Exploration des modifications comportementales subites inexpliquées
- Exploration des altérations de l'état de vigilance
- Exploration des accidents vasculaires cérébraux
- Traumatismes crâniens
- Exploration des syndromes de Cushing d'origine hypophysaire
- Amaurose (perte de la vue)
- Suspicion de maladies congénitales : Hydrocéphalie, dysplasie occipitale...
- Suspicion de tumeur cérébrale
Encolure

- Exploration des fistules et abcès cervicaux
- Exploration des glandes salivaires et des glandes thyroïdes
- Exploration de l'oesophage cervical
- Bilan d'extension des tumeurs cervico-faciales et des ganglions locaux-régionnaux
Thorax

- Exploration des masses thoraciques
- Exploration des épanchements pleuraux
- Recherches des corps étrangers pulmonaires (épillets) et exploration des abcès du poumon
- Exploration des pneumothorax
- Bilan d'extension pulmonaire en cancérologie
- Exploration des malformations congénitales des arcs aortiques
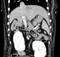
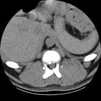
Abdomen & Pelvis

- Exploration des masses abdominales et pelviennes
- Suspicion de corps étranger abdomino-pelviens
- Bilan d'extension abdominal en cancérologie
- Exploration des Shunts porto-systémiques par angioscanner multiphases
- Exploration des organes abdominaux : foie, rate, pancréas, surrénales, reins...
- Recherche de corps étrangers rétro-péritonéaux
- Exploration des syndromes de Cushing
- Exploration de l'arbre urinaire et recherche des ectopies uretérales.
Squelette Axial

- Suspicion de hernies discales aigües ou chroniques
- Exploration des instabilités vertébrales cervicales et des syndromes de Wobbler
- Bilan traumatique, exploration des fractures vertébrales
- Suspicion de discospondylites (infection des disques et des corps vertébraux)
- Exploration du syndrome de la queue-de-cheval
- Bilan d'extension des tumeurs spinales et paraspinales
Squelette Appendiculaire

- Exploration des arthropathies du coude : Dysplasie, Coronoïde, Anconé, Ostéochondrite, Incongruence
- Exploration des arthropathies de l'épaule : Ténosynovite, Ostéochondrite, Instabilités et lésion du bourrelet glénoïdal (arthroscanner)
- Exploration du grasset (genou)
- Exploration du carpe et du Tarse
- Bilan d'extension des tumeurs osseuses
Exploration des fractures complexes : articulations, cotyle
- Indépendamment de la technique, le risque d’accident à l’anesthésie, aussi faible soit il, reste non nul.
- Compte tenu de l'injection d'Iode, un bilan rénal sera peut-être nécessaire.
- Pour les animaux âgés, un bilan pré-anesthésique complet peut être indispensable.
- Exceptionnellement, une réaction allergique grave peut survenir avec le produit de contraste.